Man in critical condition due to Whitmore bacteria attack

Hà Lê |

The patient had symptoms of fever and aches but self-treatment did not help. When the disease became severe, the patient was hospitalized and was diagnosed with Whitmore bacteria.

Patient L.S.H, 36 years old in Thanh Hoa, bought and used fever-reducing medicine at home for 10 days but did not get better. After that, the patient went to a local medical facility for examination and was prescribed medication as an outpatient.

However, the condition did not improve, the fever continued to be high and the difficulty breathing became more severe. On November 3, the patient was transferred to a provincial hospital for treatment. Blood culture results identified the bacteria Burkholderia pseudomallei, the causative agent of Whitmore's disease. After 6 days of intensive treatment but with little improvement, the patient was transferred to the Central Hospital for Tropical Diseases with the diagnosis: Septic shock, multiple organ failure, sepsis caused by B. pseudomallei, diabetes.

According to information from the family, the patient worked as an excavator and had a history of diabetes that was discovered a year ago but was not regularly monitored and treated.

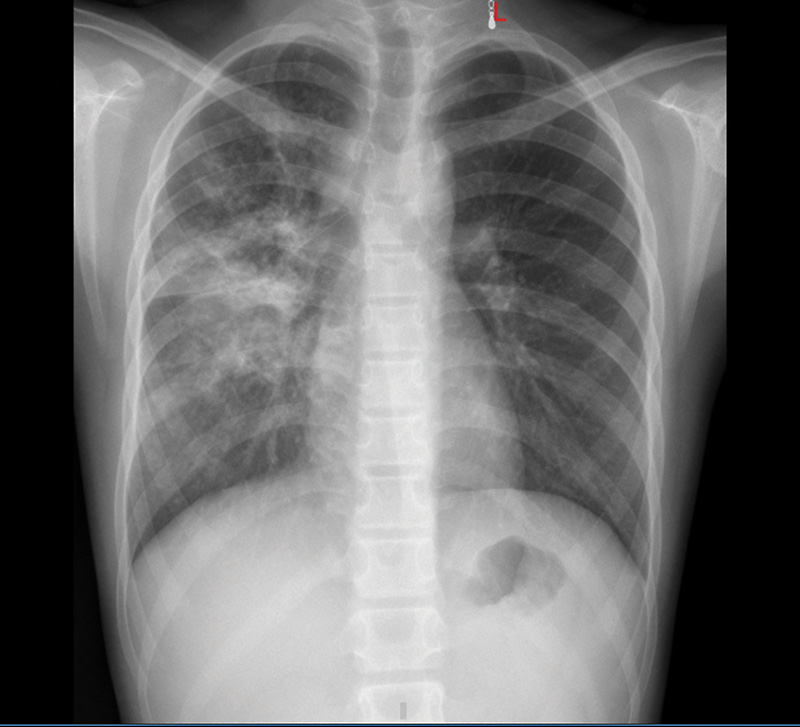
At the Emergency Department of the Central Tropical Hospital, the patient was treated with a combination of antibiotics, antifungals and continuous blood filtration. However, after only a few days, he developed subcutaneous emphysema in the neck and chest area. X-ray and CT scan results revealed pleural and mediastinal emphysema, causing acute cardiac tamponade.

The patient was placed on ECMO (extracorporeal membrane oxygenation) for support. The patient was then transferred to the Intensive Care Unit in a state of septic shock, multiple organ failure (including liver failure, kidney failure and respiratory failure), and continuous blood filtration and vasopressor maintenance. Bronchoscopy revealed a lot of pus and pseudomembranes covering the bronchial mucosa, a serious consequence of Whitmore bacteria causing lung damage.

MSc. Dr. Le Thi Huyen, Department of Intensive Care, informed: Currently, the patient still needs to use ECMO and continuous blood filtration. Circulatory function has improved when vasopressors are no longer needed, but lung function is still very weak, requiring active monitoring and support. The patient's kidney condition has shown signs of improvement, but blood filtration is still needed...

Patient H worked in an environment with direct contact with contaminated soil and water, combined with an underlying medical condition of uncontrolled diabetes, creating favorable conditions for pathogenic bacteria.

Whitmore is a dangerous disease that progresses silently, often in subacute form with atypical symptoms such as prolonged fever. This makes it difficult for patients to recognize and access early treatment...

There is currently no vaccine to prevent Whitmore's disease, so the main prevention measure is to avoid direct contact with contaminated soil and water. Do not bathe, swim, or dive in contaminated ponds, lakes, or rivers. When you have an open wound, ulcer, or burn, avoid contact with potentially contaminated soil or water. If contact is unavoidable, use a waterproof bandage and wash thoroughly to ensure hygiene.

Hà Lê

Viêm phổi ở trẻ em: Đừng lãng quên vi khuẩn lao

Hà Lê |

Bệnh lao không còn là cái tên xa lạ đối với nhiều người, đây là một căn bệnh truyền nhiễm có ảnh hưởng nghiêm trọng tới sức khỏe của người bệnh, thậm chí dẫn tới tử vong nếu không được điều trị kịp thời. Bệnh lao không chỉ ảnh hưởng tới người lớn mà ngay cả trẻ em cũng là đối tượng dễ mắc phải.

Cứu người bệnh mắc Whitmore nguy hiểm

Hà Lê |

Khoa Bệnh lây đường tiêu hóa (Bệnh viện Trung ương Quân đội 108) vừa điều trị bệnh nhân A.D, 50 tuổi, được chẩn đoán áp xe vùng cổ gáy trái và lưng do Burkholderia pseudomallei (hay còn gọi là bệnh Whitmore).

Nguy hiểm từ món tiết canh, nhiều khả năng có vi khuẩn và mầm bệnh

Vinh Phú |

Thời gian qua, nhiều trường hợp nhiễm khuẩn liên cầu lợn nhập viện trong tình trạng nguy kịch vì phát hiện quá trễ. Quan niệm ăn tiết canh có giá trị dinh dưỡng cao và có thể chữa bệnh là một sai lầm lớn. Thực tế, trong tiết canh không có nhiều dinh dưỡng như mọi người lầm tưởng, mà lại rất nguy hại cho sức khỏe.

Loét dạ dày tá tràng do vi khuẩn H.P và những điều cần được quan tâm

An Nhiên |

Viêm loét dạ dày tá tràng do vi khuẩn H.P và bệnh trào ngược dạ dày thực quản là những bệnh lý dễ gặp trong cuộc sống, nếu không phát hiện và điều trị sớm có thể dẫn đến những biến chứng nguy hiểm.