Patient P.V.D (35 years old, Cai Rang district, Can Tho city) was taken to the emergency room at Hoan My Cuu Long Hospital (Can Tho) by his family in a state of slurred speech, left hemiplegia, and reduced strength in the left limbs.
Relatives shared that about 20 minutes earlier, the patient was riding a motorbike when he suddenly felt numbness on one side of his body.
Recognizing that the patient had signs of an acute stroke, doctors at the hospital's Emergency Department immediately activated the emergency stroke procedure - CODE STROKE.

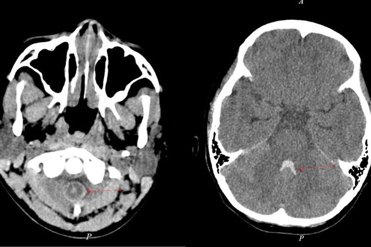
The patient was ordered a brain computed tomography (MSCT), the results showed a large brain hemorrhage in the nucleus pulposus, right temporal, surrounding cerebral edema, and displacement of the brain structure to the left. The patient needed emergency craniotomy to relieve brain compression, remove the hematoma, and stop the bleeding.
During the surgery, the medical team used a microscope to accurately access the hematoma in the brain, thereby limiting damage to the surrounding brain area and removing as much of the hematoma as possible, while also determining the location of the bleeding to stop the bleeding and relieve pressure on the brain.
The bone fragment cut from the patient's skull is nourished at a tissue preservation center. When the patient recovers, a second surgery will be performed to reattach it.
The surgery was successful after nearly 3 hours, the patient was resuscitated for 3 days after surgery until he was awake and responsive. After that, the patient was transferred to the Department of Neurosurgery - Musculoskeletal for treatment for 10 days before being discharged for outpatient follow-up.

Doctor Chau Huynh Thai Chau - Department of Neurosurgery - Musculoskeletal, Hoan My Cuu Long Hospital - said that stroke is an emergency condition including two cases: cerebral infarction and cerebral hemorrhage. Timely emergency treatment is the decisive factor to protect the patient's life.
Through this case, Dr. Chau recommends that people who suspect or have signs of stroke should immediately go to a medical facility with adequate expertise and modern equipment for accurate and timely examination. At the same time, people should regularly have periodic health check-ups according to their age to detect early underlying and latent diseases, and closely monitor for appropriate treatment.