Large kidney disease with papilloma spreading 76 mm deep
On October 10, Binh Dan Hospital informed that the unit had robot surgery to completely remove a large kidney tumor with a papilloma 76 mm deep in the aorta. This is the case with the largest thyroid thrombosis, performed by completely robotic surgery.
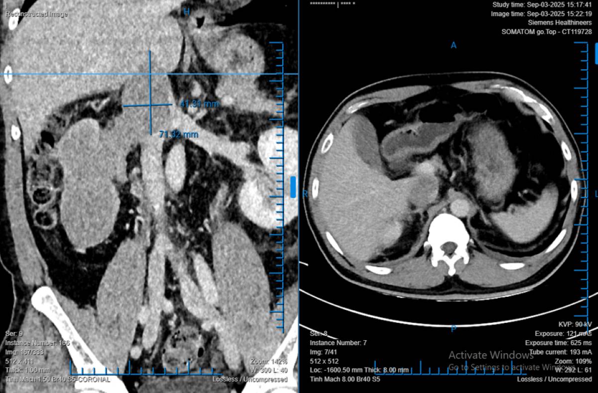
Mr. T.D.L (48 years old, Quang Tri) discovered kidney disease during a regular health check-up. When examined at Binh Dan Hospital, the imaging diagnostic results showed that the tumor occupied almost the entire right kidney, measuring 68x86x138 mm, with thrombosis spreading deep into the kidney vein and lower main vein.
The surgery lasted 8 consecutive hours. Doctors took turns moving the liver, revealing the main vein in the back of the liver, and removing all the right kidney and the tumor in the vein.

Unlike the traditional method of requiring open surgery to remove the tumor, Mr. L's surgery was performed entirely by robotic surgery. The amount of blood needed was only 600 ml, there was no need to be blood transfused and the entire vein of the patient was retained.
After surgery, the patient recovered well, had the needle cut and was discharged after 10 days.
Dr. Pham Phu Phat - Head of Nephrology A Department of Binh Dan Hospital shared that this is a case of renal cell carcinoma (RCC) with a tumor of up to 76 mm, the largest of all cases that he has ever had surgery. The average life expectancy of patients is only about 5 months if not treated promptly.
New steps in treatment
According to Dr. Pham Phu Phat, early-stage renal cell carcinoma can be detected by ultrasound, when the size of the tumor is only 1-3 cm. If detected early, treatment is favorable, the prognosis is good and the cost is much lower than late detection. This is a disease that often progresses silently, with few symptoms in the early stages.

The problem of early detection of renal cell carcinoma is currently receiving increasing attention. Supersonic detection is good, low cost and painless when done.
However, the detection of ultrasound depends on the size of the tumor and the doctor's experience. High-risk subjects need to go to experienced hospitals for regular health check-ups combined with screening.
Since the end of 2016, Binh Dan Hospital has been the first place to deploy robotic surgery for adults in Vietnam.
Since 2021, the original kidney removal and removal ofuou vaccine with robot support has been deployed at this hospital. To date, 7 cases have been successfully implemented, and the patients' health has recovered well.
The application of robotic surgery has completely marked a new step forward in the treatment of meningococcal and renal cancer with thrombosis for patients in Vietnam.
The number of kidney surgeries is increasing every year
According to statistics from Binh Dan Hospital, in 10 years (2016 - 2025), kidney disease is the most commonly surgically treated group of urinary tract cancers, with 3,851 cases. The total number of cases requiring surgery tends to increase gradually each year.
On the other hand, in the past 5 years, 834 people with kidney disease have been treated with robotic surgery. The number of cases of kidney oncology treated with robots increased the most, followed by endoscopic surgery, which is gradually replacing traditional open surgery.