Patients of different ages over 60 years old and a patient over 30 years old have come to the Central Dermatology Hospital after seeing their fo foursong liver have black spots that are like signs of identification described for skin cancer in the media and have been continuously published recently.
Patients over 60 years old have to notice black liver and foot damage for about 3-10 years, as the damage increases in size and thickens color. In patients over 30 years old, the lesion was black with a lesion size of about 11mm.
Here, patients are examined and prescribed by doctors from the Department of Aesthetic Surgery and Rehabilitation for blood tests, ultrasounds, dermoscopy scans - a special test in the Dermatology industry, which can detect early signs of skin cancer, biochemical tests...
After synthesizing paraclinical results, the doctor determined that the patients all had on-site laibocytopenic greenhouse effect cancer ( malignant melanoma MM).
Fortunately for these patients, the disease is new and only in the initial stage, as long as they need to be treated with surgery to remove the entire cancer mass and reconstruct the defect, the patient will then be monitored and re-examined periodically for 5 years.
Dr. Nguyen Huu Quang, Deputy Head of the Department of plastic Surgery and Rehabilitation, Deputy Head of the Hex cyst cancer team, Central Dermatology Hospital, said: Hex cyst cancer is one of the most malignant types of skin cancer because it progresses rapidly and metastasizes far away.
Although the disease is very malignant with a high metastasis rate, if detected early and treated according to the correct regimen, it will give good results, the 5-year survival rate is very high, especially for on-site hex cyst cancer.
Every year, the Clinic of the Hexative Cell Cancer group, Central Dermatology Hospital examines and discovers about 25-30 new patients.
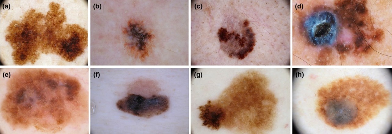
Signs of to cell cancer are black lesions with a size of >6mm, progressing in size, and are not uniform in color in any location of the skin and mucous membranes, but for Vietnamese people, they often appear in extreme ends such as the ban and toes.

Dr. Quang said that if people see the above signs, patients should go to a specialized medical facility for early detection and timely treatment.
This is very important, it is possible to treat thoroughly at the lowest possible cost and especially the quality of life of patients is improved, greatly reducing treatment costs. If you see black liver damage in your foot or nails over 6mm in size, you should see a dermatologist.