On the night of January 17, the Department of Surgery of the upper extremities and Microsurgery, Institute of Trauma - Orthopedics, Central Military Hospital 108 received a particularly serious emergency case: a 15-year-old teenager was injured in an accident due to a firecracker explosion. The patient was admitted to the hospital about 3 hours after the accident, in a state where his left hand was almost completely crushed, accompanied by a soft wound in the left thigh area.
Dr. Nguyen Quang Vinh - Department of Cervical Surgery and Microsurgery said that this is one of the typical cases for the danger level of firecracker accidents. The patient's hand is severely crushed. Damage caused by firecrackers or fire gases is often very complicated, restoring each finger unit is extremely difficult.

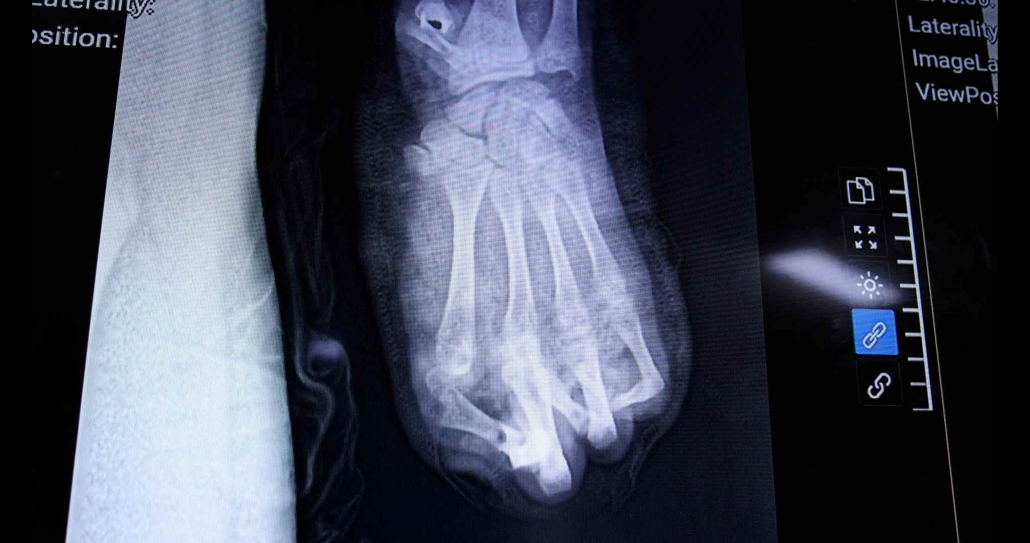
On the same night, the surgical team urgently carried out emergency treatment, cutting off the crushed tissue, removing the foreign objects that were firecracker fragments. However, after many hours of effort, the doctors could only keep 2 out of 5 fingers. The entire liver and wrist area were severely destroyed, causing a very high risk of hand loss.
According to doctors, the treatment process for the patient will be prolonged with many subsequent surgeries. In the immediate future, the patient needs to be covered with skin patches to the necrotic areas. In the next few months, if conditions permit, doctors are expected to perform surgery to move the toe up to replace the lost thumb.
However, the long-term prognosis is still very hesitant. Patients are likely to have to accept permanent loss of at least 2 fingers and can only recover a very limited part of the function of the left hand.
Dr. Nguyen Quang Vinh added: Every year, especially around the 3 months leading up to Tet, the hospital receives many cases of accidents caused by firecrackers, mainly teenagers. What is worrying is that in recent years, these accidents have not only focused on Tet but have appeared sporadically throughout the year.
During the consultation, Dr. Nguyen Viet Nam - Director of the Institute of Orthopedics and Traumatology - assessed that this is a very serious injury case, requiring long-term coordination between surgery, functional rehabilitation and psychological support for the patient.
What we regret most is that accidents caused by firecrackers can be completely prevented. Just a few minutes of carelessness, patients can lose limbs, even life," Dr. Nguyen Quang Vinh emphasized.
Doctors recommend that when a firecracker accident unfortunately occurs, the injured person needs to be temporarily bandaged, fixed and quickly taken to the nearest medical facility. Hiding or delaying emergency care can cause the patient to lose "golden time" to preserve limbs.