Society

Paper warehouse fire in Hanoi, police promptly protect 2,500m2 of factory

|

Hanoi - Paper warehouse of a company in Quoc Oai Industrial Cluster catches fire at noon on March 7, firefighters promptly controlled and prevented the fire from spreading.

Bustling atmosphere before elections in Phu Quy Special Zone

|

Lam Dong - The atmosphere of preparation for election day is spreading throughout Phu Quy Special Zone, from villages on the island to fishing boats reaching out to sea.

Fire at Tinh Anh restaurant - the most crowded popular popular rice restaurant in Yen Bai mountain town

|

Lao Cai - Tinh Anh rice shop where the fire occurred is located on Au Co street, the exit to the highway and is always crowded with customers.

Weather forecast for tomorrow March 8th nationwide

|

Weather forecast for tomorrow March 8, Hanoi has rain in some places, fog in the early morning, cold weather. Ho Chi Minh City will be sunny tomorrow.

8 PM News: Road expansion project worth over 800 billion VND in Hanoi to be completed after 15 years

|

8 PM News on March 7: Road expansion project in Hanoi to be completed after 15 years; Gold jewelry is sought after as gifts for women March 8;...

Quang Ninh spends 580 billion VND to upgrade provincial road 327

|

Quang Ninh launched the project to upgrade provincial road 327 with a total investment of 580 billion VND, aiming to develop traffic infrastructure and expand the urban space of Dong Trieu city.

Weather forecast tonight and tomorrow 12/25

|

Latest weather forecast 12/25: Hanoi weather is forecast to be cloudy, no rain. Below is the weather forecast for tonight and tomorrow.

Hanoi's Old Quarter is congested due to the influx of people on Christmas Eve

|

Many streets in the Old Quarter (Hoan Kiem District, Hanoi) are congested because of the influx of people and vehicles preparing to celebrate Christmas Eve.

Santa Claus is twice as busy as last Christmas

|

In the warm atmosphere of Christmas, Santa Claus rental service becomes a favorite choice of parents, to create a big surprise for children.

Unique giant conical hat Christmas tree in Da Nang

|

Thousands of conical hats are woven into a giant pine tree at Phu Ha Church, Da Nang, creating a unique check-in spot that attracts many tourists.

Vietnamese workers have the opportunity to work in Australia

|

On December 24, the Overseas Labor Center (Ministry of Labor, War Invalids and Social Affairs) organized a recruitment campaign for 30 workers to go to Australia to work in the agricultural sector.

Details of roads closed for Christmas

|

On December 24, the Hanoi Department of Transport announced a plan to separate and organize traffic, including banning vehicles on many routes to serve Christmas.

Northwest end of day: Expressway through Tuyen Quang after 1 year of opening

|

Phuong Vien flower village bustles in preparation for Tet; Yen Bai station is gloomy at the end of the year; The expressway through Tuyen Quang opens to traffic after 1 year...

120 houses given to poor households before the New Year

|

Soc Trang - 120 houses were given to poor households, near-poor households, and households with housing difficulties.

Unexpected reward for merchant who returned 4 gold bars

|

Lam Dong - The Chairman of Bao Loc City People's Committee has just signed a decision to give extraordinary rewards and commend two individuals for their achievements and noble deeds.

Colorful alleys welcome Christmas in Ho Chi Minh City

|

HCMC - Christmas season is coming, people in Go Vap district splendidly decorate the alley where they live, creating a beautiful "new shirt".

Proposal to handle many officials of Dak Lak Provincial Political School

|

Dak Lak - Former leaders of Dak Lak Provincial Political School and a number of officials were proposed to be disciplined by the Party and government.

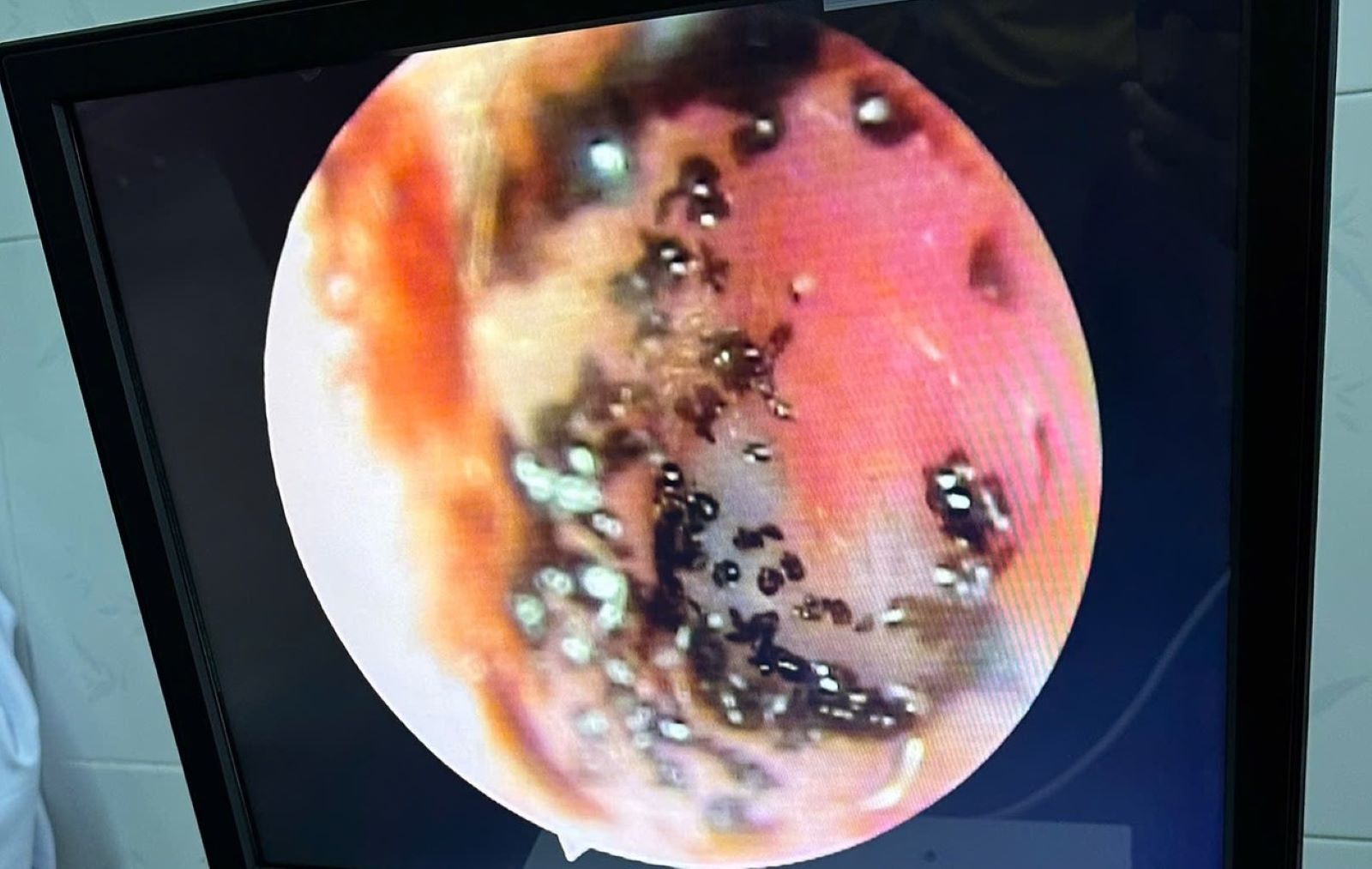
Lice and mites living in the ear of a 6-year-old patient

|

Quang Tri - A little girl was taken to the medical center because of an earache. Upon examination, a swarm of parasitic mites were found inside.

Many problems in land acquisition and clearance work in Hoa Vang district, Da Nang city

|

Da Nang - Many projects in Hoa Vang are still stuck in the process of site clearance due to many reasons.

Big challenge in handling traffic violations

|

Hanoi Traffic Police (CSGT) is implementing a series of measures and solutions to ensure traffic safety, but still faces a big challenge.