Health
Time to do strength training to recover muscles after 50 years old
|
In people over 50 years old, strength training helps improve insulin sensitivity, metabolic rate and muscle recovery.
Vinh Long inaugurates modern cancer radiotherapy system, reducing pressure on the Mekong Delta
|
Vinh Long - On October 31, Vinh Long General Hospital held an inauguration ceremony and put into operation the modern cancer radiotherapy system using a linear accelerator.
Anxiety can cause increased ventilation and affect breathing
|
Anxiety can cause an abnormally fast increase in breathing rate, causing a feeling of shortness of breath, creating a vicious cycle between stress and express breathing.
Successful surgery for complex jaw bone reconstruction for severe heart disease
|
HCMC - On October 31, Cho Ray Hospital said it had successfully created a patient with complex complexations of the lower left jaw bone and severe cardiovascular disease.
Changes in the body when eating soaked walnuts every day
|
Changes in the body when eating soaked walnuts every day such as improving the digestive system, being full of energy...
Ba Ria - Vung Tau urgently directs prevention and control of COVID-19 epidemic
|
Ba Ria - Vung Tau - The Department of Health recommends that people proactively prevent and combat COVID-19, medical facilities deploy solutions to prevent the spread of the disease.
5 good dishes for nearsighted people
|
Here are 5 dishes recommended by experts for people with myopia.
Reasons for people with high uric acid and people with gout need to pay attention when eating peanuts
|
When uric acid levels in the blood increase, it leads to the formation of urate crystals in the joints, which is the cause of gout.
6 measures to prevent COVID-19 as the number of cases increases
|
The increase in COVID-19 cases in many Asian countries is causing many people's concerns, below are some preventive measures.
Hanoi solicits public opinions on the price of out-of-hospital emergency services
|
Hanoi - The city is seeking public opinion on the draft Resolution regulating the price of out-of-hospital emergency services that has not been regulated by competent state agencies.
Exercises to improve insulin sensitivity
|
If you can increase insulin sensitivity, blood sugar levels will become more stable and easier to control.
Collagen can improve joint function
|
Collagen not only helps beautify the skin but also plays an important role in improving and protecting joint health.
How to drink milk to prevent blood sugar spikes after meals
|
Drinking milk at the right time and choosing the right type helps stabilize blood sugar, supporting effective diabetes control.
The Ministry of Health proposes to check Milo advertisements related to clinical trials
|
The National Institute of Nutrition and the Dong Nai Department of Health check and verify the content of Nestle Milo product advertising related to the clinical trial report.
How to eat to reduce belly fat during menopause
|
During menopause, the body's estrogen levels decrease and metabolism slows down, leading to increased belly fat.
Simple test to detect health status of the nervous system
|
No need for complicated machines or testing, with just a few seconds and a simple test, you can quickly assess your nervous system status.
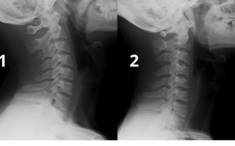
Working in the wrong position, the 26-year-old man lost his cervical curve
|
HCMC - A 26-year-old man came to the clinic with pain in the neck - shoulders, shoulder fatigue, and a ringing pain spreading to his head.
Danger from the trend of blood filtration to prevent stroke, heart attack
|
HCMC - Blood filtration to prevent stroke and heart attack is spread on social networks. Experts warn of the dangers of this trend.
Effectively lower high blood pressure thanks to purple fruits
|
To effectively lower high blood pressure, you should add eggplant to your diet appropriately.
XEC variants break out in Thailand, Vietnam proactively prevents COVID-19 epidemic
|
Thailand experienced a COVID-19 outbreak due to Omicron XEC variation. Vietnam has not recorded an infection but still recommends people to prevent the epidemic.
 
  
  
  
  
  
  
  
  
  
  
  
  
  
  
  
  
  
  
  
 